|
Unveiling potential sex-determining genes and sex-specific markers in autotetraploid Carassius auratus. |
|
Genomic and chromosomal architectures underlying fertility maintenance in the testes of intergeneric homoploid hybrids |
|
Exploring the role of miR-430 in hybrid fish during embryonic development |
|
Study on mate choice in animals |
|
Multi-Omic Analysis Reveals the Potential Anti-DiseaseMechanism of Disease-Resistant Grass Carp |
|
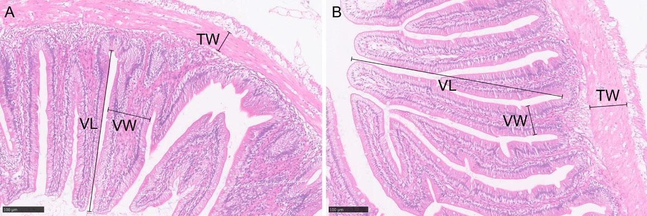
Dietary bile acid supplementation alters the gut transcriptome and metagenome and contributes to herbivorous diet adaptation in juvenile allodiploid hybrid fish |
|
Germplasm innovation of large yellow croaker and its research progress |
|
A new type of triploid fish derived from female Carassius auratus red var.×male Gobiocypris rarus |
|
Integrated GWAS and transcriptome analysis reveals regulatory networks underlying growth in improved grass carp |
|
Assessment of Germplasm Improvement in Three Farmed Grass Carp Populations Based on Genetic Variability |