|
Comparative analyses of hypothalamus transcriptomes reveal fertility-, growth-, and immune-related genes and signal pathways in different ploidy cyprinid fish |
|
Genetic and Epigenetic Changes Are Rapid Responses of the Genome to the Newly Synthesized Autotetraploid Carassius auratus |
|
Diverse transcriptional patterns of homoeologous recombinant transcripts in triploid fish (Cyprinidae) |
|
Hox genes reveal variations in the genomic DNA of allotetraploid hybrids derived from Carassius auratus red var. (female) × Cyprinus carpio L. (male) |
|
Expression Profile Analysis of the Cell Cycle in Diploid and Tetraploid Carassius auratus red var. |
|
The Hybrid Genome of a New Goldfish-Like Fish Lineage Provides Insights Into the Origin of the Goldfish |
|
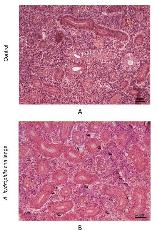
Metabolite features and oxidative response in kidney of red crucian carp (Carassius auratus red var) after Aeromonas hydrophila challenge |
|
Combined effects of dosage compensation and incomplete dominance on gene expression in triploid cyprinids |
|
The subgenomes show asymmetric expression of alleles in hybrid lineages of Megalobrama amblycephala × Culter alburnus |
|
Triploidization of hybrids (female zebrafish × male blunt snout bream) by heat-shock |