|
稻-鱼种养减控镉及米、鱼性状研究 |
|
The alternative transcription and expression characterization of Dmc1 in autotetraploid Carassius auratus |
|
ATG16L1 negatively regulates MAVS-mediated antiviral signaling in black carp Mylopharyngodon piceus |
|
The infection of murine gammaherpesvirus-68 delays the early embryonic development of zebrafish |
|
Triploidization modulates intestinal microbiota and promotes growth in Carassius auratus |
|
Molecular characterization and polyclonal antibody preparation of intestinal stem cell marker LGR6 in Xiangyun Crucian Carp 2 |
|
Replacing Fish Meal with Hydrolyzed Collagen Derived from Fish By-Products Improved Muscle Quality and Glycolipid Metabolism of Triploid Crucian Carp |
|
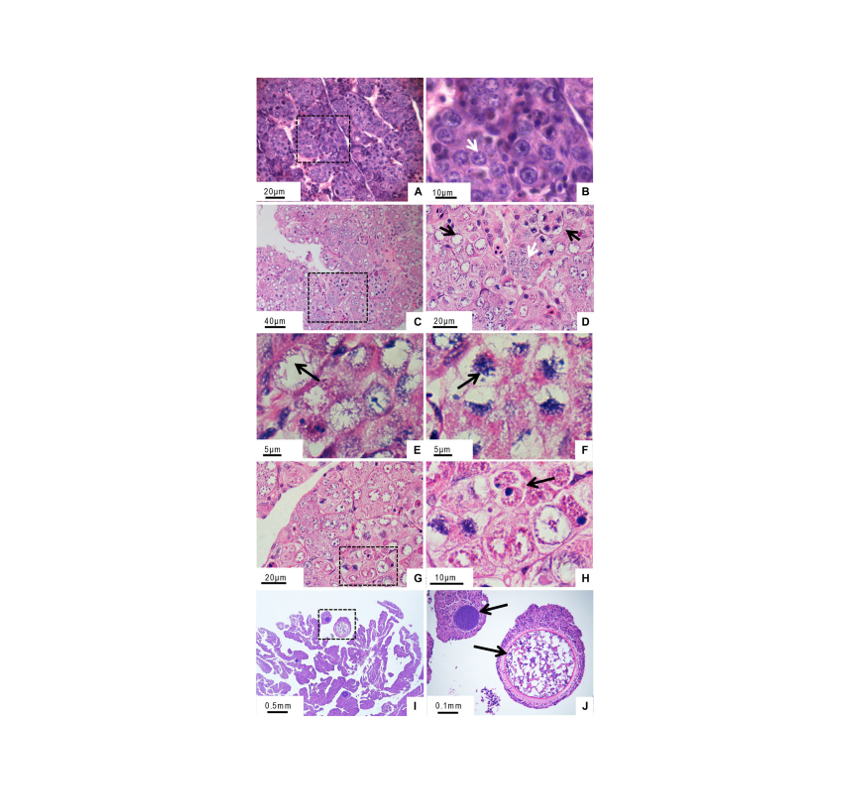
Formation of the synaptonemal complex in a gynogenetic allodiploid hybrid fish |
|
Molecular characterization of diploid YY sperm related to its developmental advantages |
|
Negatively regulation of MAVS-mediated antiviral innate immune response by E3 ligase RNF5 in black carp |