|
The kiss2/kiss2r system directly modulates the activity of the pituitary gland in largemouth bass (Micropterus salmoides) |
|
Evolutionarily conserved IL-20 enhances the response of JAK1/STAT3 axis in Carassius cuvieri × Carassius auratus red var |
|
Full-length transcriptome reveals rapid genetic changes in triploid hybrid grass carp derived from female grass carp × male topmouth culter |
|
Unique nucleolar dominance patterns in different ploidy hybrid lineages derived from Cyprinus carpio (♀) × Megalobrama amblycephala (♂) |
|
Role of the dimerization domain of black carp STING during the antiviral innate immunity |
|
DDX23 of black carp negatively regulates MAVS-mediated antiviral signaling in innate immune activation |
|
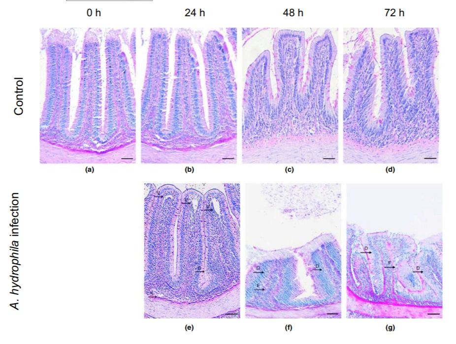
Alteration of synergistic immune response in gut–liver axis of white crucian carp (Carassius cuvieri) after gut infection with Aeromonas hydrophila |
|
CRISPR/Cas9-Mediated Knockout of tnfaip1 in Zebrafish Plays a Role in Early Development |
|
Black carp RNF5 inhibits STING/IFN signaling through promoting K48-linked ubiquitination and degradation of STING |